オキュロフェイシャルクリニック 義眼治療全国有数の実績

義眼治療

眼形成専門クリニックが

自然な仕上がりをお約束

SCROLL 義眼アイコン 義眼アイコン 義眼アイコン 義眼アイコン

心まで治す医療を提供したい

病気になった時、
身体だけが苦しむのではありません。
実は身体が苦しむと、
それ以上に心が苦しむのです。
我々はそのように苦しんでいる、
心も治したいと考えています。

私が米国留学から得た世界最先端の
眼形成手術の技術を元に、
それを各医師に余すところなく伝授し、
安心できる医療、心まで治す医療を
患者様方に提供したいと思っています。

経過が思わしくなく、悩まれている方は
是非一度我々にご相談いただけたら幸いです。

当院の診療理念 義眼アイコン
義眼アイコン

患者様がよく抱えるお悩み

  • 義眼を検討中

    義眼を検討中

    目の白濁がひどく、被せ義眼を考えているが、どの病院で治療すれば良いか全く分からない。

  • 装着時の違和感

    装着時の違和感

    眼球を摘出して義眼にする予定だが、義眼を入れた時にどの程度違和感を感じるものなのか知りたい。

  • 義眼の見た目

    義眼の見た目

    片目が失明して眼球萎縮になったため義眼をしているが、左右の目の見た目が不釣り合いで、かなり気になる。

眼形成の
専門ドクターに
お任せください

OCULO FACIAL CLINIC TOKYO
オキュロフェイシャルクリニック
グループ 代表鹿嶋 友敬

患者様が共通している切実な願いは、「苦しんでいる現状をどうにかして欲しい」です。病気になった時、身体だけが苦しむのではありません。
実は身体が苦しむと、それ以上に心が苦しむのです。我々はそのように苦しんでいる心も治したいと考えています。痛みへの配慮や治療後のアフターフォローまで最大限に患者様をサポートいたします。

ドクター紹介
鹿嶋先生 義眼アイコン

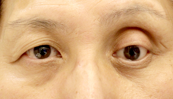
事故で眼球陥凹+
義眼となってしまった方への治療前後
オキュロフェイシャルクリニック 
鹿嶋友敬

義眼の方の治療は、義眼台手術、眼瞼手術、
場合によってはヒアルロン酸注射を行うことで綺麗に仕上げることが可能です!
お困りの方は是非ご相談ください!

リスク:出血、感染、義眼台露出、低矯正、過矯正

義眼アイコン
義眼アイコン

最適な医療を
全ての患者様へご提供

より安全で安心な治療を行い、
より快適な生活を送れるように

オキュロフェイシャルクリニックの医師が専門としている「眼形成眼窩外科」は、全国的にも非常に少ない分野です。そのため、治療が不可能であると思いこんで諦めておられる方々が日本全国に沢山いらっしゃいます。
当院では最先端の知識と経験を元に、痛みの少ない麻酔方法で治療いたします。治療に迷われている方々は、是非一度ご相談ください。

義眼の治療について
義眼アイコン

当院が選ばれる
3つの理由

  1. Reason痛み・恐怖を感じない医療

    世界最先端の、出来るだけ目立たない部位で切開する手術、そして全国でも有数の手術数からの経験を基に美容を意識した治療を行うことで、来院される方々に安心して治療を受けていただきたいと思っています。

  2. 当院では世界最高クラスの病院での臨床経験・知識を生かし、傷が目立たないように手術を行います。眼窩骨折や眼窩腫瘍などで皮膚の切開を好まない方は一度ご相談ください。

    Reason目立たない場所を切開

  3. Reason手術後、すぐに社会復帰

    傷を残さない切開では、侵襲が少ないため手術時間も短くすることが可能です。手術時間が短ければ、術後の痛みも腫れも少なく抑えることが可能になります。これにより、当院では主に日帰りの手術を行っております。

当院が選ばれる理由 義眼アイコン
義眼アイコン 義眼アイコン

まずはお気軽に
ご相談ください

治療への不安を
少しでも和らげ、無くすために

眼形成手術を行っている東京と大阪、千葉、群馬の全国4医院にある医療機関です。
治療をご希望の方は、それぞれの医療機関にお問合せください。

義眼の手術・治療法について

義眼

義眼になっている方の
お悩みについて

具体的に義眼になっている方々が困るのは、①上眼瞼の陥凹(へこみ)と、②下眼瞼下垂(下まぶたが下がる)と睫毛内反(逆さまつげ)の2つに集約されます。

実は同じ原因で引き起こされる義眼のお悩みについて

  1. 上眼瞼の陥凹(へこみ)
  2. 下眼瞼下垂
    (下まぶたが下がる)と
    睫毛内反(逆さまつげ)

これらは実は同じ原因から起こっています。その原因は、眼窩(眼の周りのスペース)の容積の不足です。

義眼を装用しないといけないような方は、眼球の機能が低下もしくは喪失しているはずです。
そのような眼球は小さくなってしまったり、場合によっては摘出されたりして眼球が無い状態になっています。
眼球の容積が減少している、もしくは摘出されていると、眼窩全体が落ち込み、特に上のまぶたの凹みとなって現れます。

義眼の治療に
なぜ義眼台が必要なのか?

正常な状態

義眼

上のまぶたの凹みもなく、正常な状態です。

義眼台がなく、
上眼瞼が窪んだ状態

義眼

眼球の容積が減少している、もしくは摘出されていると、眼窩全体が落ち込み、特に上のまぶたの凹みとなって表れます。

上まぶたの凹みを治すために、
義眼を厚く作ると…

義眼

義眼師さんたちは上のまぶたのへこみを治す、もしくはまぶたが下がっているのを治すために、義眼の上の部分を厚く作り、上のまぶたのへこみを治そうとします。実は義眼の上の部分を厚く作ると、上方向に圧力が増えるのですが、下方向にも圧力がかかるのです。

つまり厚くなった義眼は上のまぶたを押し上げるだけでなく、その副作用として下のまぶたを押し下げてしまうのです。

これが2つ目の病態、下眼瞼下垂(下まぶたが下がる)と逆さまつげの原因となります。
義眼に下まぶたの結膜(しろめ)が押し下げられ、その結果としてまつ毛が内側に向いて逆さまつげになってしまいます。眼球の容積が減少したことに対応して、義眼を大きくしたためにこのようなことが起こってしまうのです。

眼球の容積が減少したことに対応して、義眼を大きくしたためにこのようなことが起こってしまうのです。

下まぶたが下がった際の
治療方法について

義眼台

では、下まぶたがこのような状態になってしまうとすれば、どう対処すれば良いのか。
それは眼窩容積を増やし、義眼を出来るだけ薄く作るということが答えになります。

義眼を出来るだけ薄く作ることで、下まぶたへの圧力を減らすことが出来ます。
でもそうするともちろん上まぶたのへこみはより悪化してしまいます。

そのために必要なのが、そもそもの眼窩容積を増やすこと。
眼球が小さくなったり、無くなったりした分の容積を補う必要があります。

眼窩容積を増やすためには、何かを眼窩に入れる必要があります。
鼡径部(そけいぶ)の脂肪や肋軟骨など自分の身体の一部を入れる場合もありますが、その場合、手術時間が長くなり身体にキズを作り効果も不定であるため、当院では、主として2種類の方法で改善を目指しています。

当院で提供している
2つの改善方法

  1. ヒアルロン酸
    1つ目はヒアルロン酸です。主として美容目的で使用されるヒアルロン酸は、比較的長期間体内に留まり簡単に注入できるため、気軽に治療を行うことが可能です。
    しかし、大量に入れることは出来ず、効果が証明されていなく、徐々に吸収されていってしまうため、他の材料と組み合わせて行うことが推奨されます。
  2. 義眼台
    2つ目は、義眼台としてのアクリルやハイドロキシアパタイトなどの生体親和性のある人工物です。ヒアルロン酸とは異なり、義眼台自体にそれなりの体積がありますので、一度入れれば、それだけでそれなりの容積を確保することが可能になります。

義眼台により、
義眼は約半分の薄さに

眼球の体積は約7㏄です。

これが喪失したとしてすべてを義眼で補うなら義眼の体積は5-6㏄程度は必要ですが、直径18ミリの義眼台では3.1㏄、直径20ミリの義眼台では4.2㏄の体積がありますから、これらの義眼台を入れられれば、義眼の体積は2-3㏄で良いことになり、約半分の薄さにすることが可能なのです。

これまでの
義眼台の問題点について

しかし、この義眼台に問題があります。実は日本国内では認可された義眼台の材料がありません。
国が認めた材料がなくとも、医師の判断で認可されていない材料を使用することは可能ですので、以前はどこの医療機関でも、国から認可されていないアクリル等で出来たボールを義眼台として挿入することを行っていました。
しかし、現在は大きな医療機関では、そのような未認可の材料は全く使用できなくなってきているのです。

そうなると困るのは、患者さんです。先述したように義眼台が入れられなければ、義眼を大きくするしかなく、それによって逆さまつげと下眼瞼下垂になる患者さんが続出している、というのが現状なのです。

当院では、生体親和性の高い義眼台を使用しています

義眼台

こういった事情に対応するため、当院では海外で認可された義眼台を輸入し眼窩に包埋する手術をしていますし、いままで同様アクリルなどの素材を使ったボールも挿入しています。

海外で使われている義眼台は、アクリルボールと異なり、細かい穴が開いているため眼窩の組織に生着しやすく、ばい菌による感染にも強いとされていますが、実績を見ると成績にはほとんど差がないようです。

自費でも保険でも治療を行うことが可能ですので、是非ご相談いただけたらと思います。

料金

保険診療

義眼台包埋術 約20,000円(1割負担)
約60,000円(3割負担)

自由診療

ヒアルロン酸注射 1本 95,700円

治療後について

義眼台を入れることで、義眼を薄くすることが出来ます。義眼が薄くなると自然な形状に近くなります。そのほかにも眼瞼下垂や内反(逆さまつげ)などの治療を組み合わせることで、正常眼との差を小さくしていきます。

義眼治療の流れ

  1. 来院
  2. 手術準備
  3. 麻酔薬の注入(鎮静)
  4. 手術
  5. 麻酔(鎮静)からの回復
  6. 退院

義眼の症例

症例1

Before 義眼の症例
After 義眼の症例
術前 左義眼、眼球陥凹
術後 左義眼台包埋、左上眼瞼下垂手術、左下眼瞼下垂手術
治療費 準備中
治療のリスク 腫れが引かない、内出血がある、目が閉じにくい、完全に閉じないなどのリスクがあります

症例2

Before 義眼の症例
After 義眼の症例
術前 左義眼、眼球陥凹
術後 左義眼台包埋、左眼窩内ヒアルロン酸注入後
治療費 準備中
治療のリスク 腫れが引かない、内出血がある、目が閉じにくい、完全に閉じないなどのリスクがあります

症例3

Before 義眼の症例
After 義眼の症例
術前 左無眼球症、眼球陥凹
術後 左義眼台包埋術後
治療費 準備中
治療のリスク 腫れが引かない、内出血がある、目が閉じにくい、完全に閉じないなどのリスクがあります

治療後のアフターフォロー

手術後は約1~2週間後に再診。その後は3か月後に再診して終了。

義眼師について

義眼を作る人のことを指しますが、医師・看護師などと異なり、国家資格ではありません。

お勧めする義眼師

アツザワプロテーゼ

URL URL:http://www.atsuzawa.jp/
住所 〒113-0033
東京都文京区本郷4丁目2−1
電話 tel:03-3811-8577

日本義眼研究所

URL URL:https://gigan.co.jp/
住所 〒102-0083
東京都千代田区麹町1丁目5番4号
ライオンズステーションプラザ半蔵門108号室
電話 tel:03-3261-8171
fax:03-3234-0710

グループ医院一覧

  • オキュロフェイシャルクリニック京都(眼形成外科)